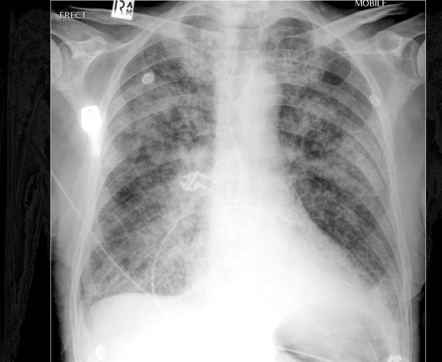
Introduction: As medicine is ever changing, new diseases and symptomatology are being classified differently according to the etiology, presentation, clinical findings, and treatments of subsets of disease pathology. There have been various names throughout the continued advancement of medicine for acute pulmonary edema, but there have also been various clinical findings and differences in treatments …
Continue reading Sympathetic Crashing Acute Pulmonary Edema (SCAPE)





You must be logged in to post a comment.